Profesionali burnos higiena – kodėl atidėlioti neverta?
Nors dantis valome kasdien, juos kruopščiai išvalyti nėra taip paprasta. Norint pasiekti kiekvieną danties paviršių, svarbu naudoti tinkamas, individualiai parinktas priemones.




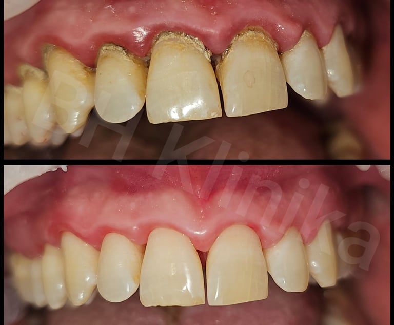
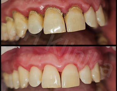
Tačiau net ir su didelėmis pastangomis dantų valymas dažnai tampa iššūkiu. Sunkiai prieinamose vietose kaupiasi minkštos apnašos, kuriose gausu bakterijų. Ilgainiui nenuvalytos apnašos sukietėja ir tampa dantų akmenimis. Bakterijos, esančios apnašose, gali sukelti ėduonį, dantenų uždegimą (gingivitą) ir netgi periodonto uždegimą (periodontitą). Negydant šių ligų, galima netekti dantų.


Profesionalios burnos higienos metu vertinama minkštųjų burnos audinių, dantenų ir dantų sveikata. Parenkamos individualios burnos higienos priemonės, išmokoma jomis tinkamai naudotis, pašalinamos visos virš dantenų ir po jomis susikaupusios minkštos ir kietos apnašos bei pigmentai.
Procedūra dažniausiai nėra skausminga. Esant jautriems dantims ar gilioms periodontologinėms kišenėms, ji atliekama nejautroje.
Burnos higienos nauda:
Sumažina ėduonies riziką
Mažina gingivito ir periodontito riziką
Atstatomas natūralus dantų baltumas
Užtikrina gaivų burnos kvapą
Kaip dažnai reikėtų atlikti burnos higieną?
Dažniausiai – kas 6 mėnesius
Esant dantenų ligoms – kas 3–4 mėnesius
Nešiojant ortodontinius aparatus – kas 3–4 mėnesius
Nepamirškite: burnos higiena turi būti reguliari ir profilaktinė procedūra. Tai padeda sumažinti burnos ligų riziką ir išvengti sudėtingo bei brangaus odontologinio gydymo.
